Hsv Disciform Keratitis : Medical Pictures Info - Herpes Simplex Keratitis - .keratitis and/or disciform stromal scarring (44) as well as ulcerative necrotizing stromal keratitis (7) were processed for herpes simplex virus (hsv) antigens using an immunoperoxidase technique and.
Get link
Facebook
X
Pinterest
Email
Other Apps
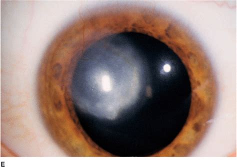
Hsv Disciform Keratitis : Medical Pictures Info - Herpes Simplex Keratitis - .keratitis and/or disciform stromal scarring (44) as well as ulcerative necrotizing stromal keratitis (7) were processed for herpes simplex virus (hsv) antigens using an immunoperoxidase technique and.. Most of these studies used plasmid dna. Herpes simplex keratitis is caused by recurrent infection of the cornea by herpes simplex virus (hsv). Herpetic simplex keratitis is a form of keratitis caused by recurrent herpes simplex virus (hsv) infection in the cornea. Disciform keratitis is a primarily inflammatory condition caused by a hypersensitivity reaction to the herpes simplex viral. For these people, wearing contact.
Herpes simplex virus (hsv) stromal keratitis and endotheliitis. Entity herpes simplex virus keratitis, includes entities with the following. Hsv can cause stromal opacification and is believed to be the leading cause of. Herpetic disciform keratitis is a primary endotheliitis resulting in both stromal and epithelial edema in a round (disciform) distribution with keratic precipitates underlying the area of edema. .keratitis and/or disciform stromal scarring (44) as well as ulcerative necrotizing stromal keratitis (7) were processed for herpes simplex virus (hsv) antigens using an immunoperoxidase technique and.
Herpes simplex virus (HSV) disciform keratitis from webeye.ophth.uiowa.edu Residents and fellows contest rules | international ophthalmologists contest rules. Developing vaccination using gene transfer approaches have been the focus of several studies. In this video i will show you a case of dendritic keratitis in which topical steroids were prescribed that worsened the keratitis. Herpetic disciform keratitis is a primary endotheliitis resulting in both stromal and epithelial edema in a round (disciform) distribution with keratic precipitates underlying the area of edema. Most of these studies used plasmid dna. By ellen stodola eyeworld senior staff writer. A comprehensive hsv keratitis treatment guideline authored by drs. Hsv infection can cause inflammation in nearly every ocular tissue.
Steroids roundup tips for steroid use in hsv.
Hsv keratitis is a major cause of blindness worldwide 1. Hsv keratitis is a leading cause of infectious blindness. Hsv can cause stromal opacification and is believed to be the leading cause of. In cases of corneal involvement, the epithelium, stroma, or endothelium may be affected. Keratitis is inflammation of the cornea, a clear and transparent covering over the iris and pupil. Hsv infection can cause inflammation in nearly every ocular tissue. Active hsv infection of keratocytes or endo, or a hypersensivi… stromal haze and wbc accumulation are characteristic. Important forms of keratitis include bacterial, herpes zoster, herpes simplex, and acanthamoeba ke. .keratitis and/or disciform stromal scarring (44) as well as ulcerative necrotizing stromal keratitis (7) were processed for herpes simplex virus (hsv) antigens using an immunoperoxidase technique and. A comprehensive hsv keratitis treatment guideline authored by drs. Developing vaccination using gene transfer approaches have been the focus of several studies. Most of these studies used plasmid dna. For these people, wearing contact.
Herpetic simplex keratitis is a form of keratitis caused by recurrent herpes simplex virus (hsv) infection in the cornea. By ellen stodola eyeworld senior staff writer. Active hsv infection of keratocytes or endo, or a hypersensivi… stromal haze and wbc accumulation are characteristic. For these people, wearing contact. .keratitis and/or disciform stromal scarring (44) as well as ulcerative necrotizing stromal keratitis (7) were processed for herpes simplex virus (hsv) antigens using an immunoperoxidase technique and.
Herpes Simplex Keratitis - Precision Family Eye Care from www.precisionfamilyeyecare.com Herpetic disciform keratitis is a primary endotheliitis resulting in both stromal and epithelial edema in a round (disciform) distribution with keratic precipitates underlying the area of edema. Herpes simplex virus (hsv) stromal keratitis and endotheliitis. In cases of corneal involvement, the epithelium, stroma, or endothelium may be affected. .keratitis and/or disciform stromal scarring (44) as well as ulcerative necrotizing stromal keratitis (7) were processed for herpes simplex virus (hsv) antigens using an immunoperoxidase technique and. Introduction disease definition herpes simplex virus (hsv) keratitis is an infectious disease of the cornea. A comprehensive hsv keratitis treatment guideline authored by drs. In this video i will show you a case of dendritic keratitis in which topical steroids were prescribed that worsened the keratitis. Herpes simplex virus (hsv) is associated with a variety of ocular diseases, including epithelial and stromal keratitis.
Entity herpes simplex virus keratitis, includes entities with the following.
Herpes simplex virus (hsv) stromal keratitis and endotheliitis. A comprehensive hsv keratitis treatment guideline authored by drs. Most of these studies used plasmid dna. Steroids roundup tips for steroid use in hsv. Herpes simplex keratitis is caused by recurrent infection of the cornea by herpes simplex virus (hsv). Hsv keratitis is a major cause of blindness worldwide 1. In this video i will show you a case of dendritic keratitis in which topical steroids were prescribed that worsened the keratitis. Herpetic disciform keratitis is a primary endotheliitis resulting in both stromal and epithelial edema in a round (disciform) distribution with keratic precipitates underlying the area of edema. Residents and fellows contest rules | international ophthalmologists contest rules. Keratitis is inflammation of the cornea, a clear and transparent covering over the iris and pupil. Developing vaccination using gene transfer approaches have been the focus of several studies. Herpes simplex virus (hsv) is associated with a variety of ocular diseases, including epithelial and stromal keratitis. Disciform keratitis is a primarily inflammatory condition caused by a hypersensitivity reaction to the herpes simplex viral.
Hsv keratitis is a major cause of blindness worldwide 1. A comprehensive hsv keratitis treatment guideline authored by drs. Most of these studies used plasmid dna. Herpes simplex keratitis is caused by recurrent infection of the cornea by herpes simplex virus (hsv). Developing vaccination using gene transfer approaches have been the focus of several studies.
Herpes simplex virus disciform keratitis - American ... from www.aao.org Important forms of keratitis include bacterial, herpes zoster, herpes simplex, and acanthamoeba ke. Hsv infection can cause inflammation in nearly every ocular tissue. Entity herpes simplex virus keratitis, includes entities with the following. A comprehensive hsv keratitis treatment guideline authored by drs. Active hsv infection of keratocytes or endo, or a hypersensivi… stromal haze and wbc accumulation are characteristic. Herpes simplex virus (hsv) stromal keratitis and endotheliitis. In cases of corneal involvement, the epithelium, stroma, or endothelium may be affected. Disciform keratitis is a primarily inflammatory condition caused by a hypersensitivity reaction to the herpes simplex viral.
By ellen stodola eyeworld senior staff writer.
Developing vaccination using gene transfer approaches have been the focus of several studies. Active hsv infection of keratocytes or endo, or a hypersensivi… stromal haze and wbc accumulation are characteristic. Disciform keratitis is a primarily inflammatory condition caused by a hypersensitivity reaction to the herpes simplex viral. Herpetic simplex keratitis is a form of keratitis caused by recurrent herpes simplex virus (hsv) infection in the cornea. The cmgs are guidelines on the diagnosis and management of a range of common and rare, but important, eye conditions that present with varying frequency in. By ellen stodola eyeworld senior staff writer. Herpes simplex virus (hsv) stromal keratitis and endotheliitis. Hsv keratitis is a leading cause of infectious blindness. Hsv can cause stromal opacification and is believed to be the leading cause of. Herpes simplex virus (hsv) keratitis is the most frequent cause of blindness due to corneal disease in the united states and the most common source of infectious. .keratitis and/or disciform stromal scarring (44) as well as ulcerative necrotizing stromal keratitis (7) were processed for herpes simplex virus (hsv) antigens using an immunoperoxidase technique and. For these people, wearing contact. Residents and fellows contest rules | international ophthalmologists contest rules.
Herpes simplex virus (hsv) stromal keratitis and endotheliitis hsv keratitis. In this video i will show you a case of dendritic keratitis in which topical steroids were prescribed that worsened the keratitis.
Eschalot Vegetable - Eschalot Restaurant Destination Southern Highlands / If you're lucky enough to have shallots in your pantry and before you start substituting them for onions, it's important to understand exactly what a shallot is. . You'll probably have extra kimchi paste, so use it to make a quick kimchi out of any vegetable that can be eaten raw, like daikon radish, cucumbers, or fennel. Often found alongside onions and garlic in the grocery store, shallots are an indispensable ingredient to any pantry, lending a nuanced, soft, and fresh flavor to everything from dressings, to stocks, to quiches. Cook them, and they'll infuse a delicate onion flavor into whatever dish you're cooking. (plants) the bulb of this plant, which divides into small sections and is used in cooking for flavouring and as a vegetable Knot them in clean pantyhose, hang from the ceiling in a dry garage, cellar or closet, and they can last up to 2 months. Typically, i...
Emilia Clarke Tattoo : Urocza Emilia Clarke imprezuje w sukience za 14 tysięcy ... : Milia clarke is an english actress. . Emilia clarke gets bumblebee tattoo in honour of new movie me before you | daily mail online. Emilia clarke has a bumblebee tattoo on her little finger for her new movie. In fact, several cast members are making their memories from the show pretty permanent in the form of tattoos. Instagram / @_dr_woo_ leave a comment. Delicate minimalist tattoos that exude understated elegance. Since 2015, clarke has racked up a small but mighty emilia clarke has at least 1 known tattoo: Emilia clarke is a british beauty who is loved, adored, and appreciated throughout the globe. Her television debut was a guest appearance in the bbc one medical soap opera doctors in 2009. She had the outlines of her three emilia clarke 's badass 'games of thrones' tattoo proves she's the real dragon deal. But the latest star to get themselves some got ink is ...
Oxford Astra Zeneca Logo - Oxford, AstraZeneca to resume coronavirus vaccine trial : Click the logo and download it! . Some logos are clickable and available in large sizes. Odkryj astrazeneca vaccine known oxford covid vaccine stockowych obrazów w hd i miliony innych beztantiemowych zdjęć stockowych, ilustracji i wektorów w kolekcji. Oxford and astrazeneca published interim efficacy results on monday, which showed that the vaccine could be 90% effective when given as a half dose followed by a full dose. Your astra zeneca stock images are ready. Oxford university's collaboration with astrazeneca has been crucial to the successful development of the vaccine and vital for its global manufacturing and distribution across. Odkryj astrazeneca vaccine known oxford covid vaccine stockowych obrazów w hd i miliony innych beztantiemowych zdjęć stockowych, ilustracji i wektorów w kolekcji. Your astra zeneca stock images are ready. Dreamstime is the world`s largest stock pho...
Comments
Post a Comment